Understanding Panipat’s Water: Hardness, TDS, and Mineral Content

Water quality plays a major role in oral health, yet most families in Panipat don’t realize how minerals, hardness, fluoride levels, and contaminants in local water affect tooth enamel, gums, and cavity rates.
From increasing sensitivity to staining and even contributing to dental fluorosis in some pockets, Panipat’s water composition can influence dental health more than you think. As a clinic serving the city for years, we regularly see patterns directly linked to water-related issues.
This article breaks down how Panipat’s water quality impacts your teeth, what signs to watch for, and how to protect your family. Feel free to call us at 9812912946 to get your Smile assessment done.
Understanding Panipat’s Water: Hardness, TDS, and Mineral Content
Fluoride Levels in Panipat Water: Helpful or Harmful?

How Local Water Quality Impacts Dental Health in Panipat
1. Increased Calculus (Tartar) Formation
High mineral content leads to quicker hardening of plaque.
Result:
Gum bleeding
Bad breath
Early gum infections
Need for more frequent scaling
2. Tooth Sensitivity
Hard water can leave microscopic mineral deposits on enamel, causing surface roughness and more wear.
Result:
Sensitivity to hot/cold
More enamel erosion if acidic beverages are common
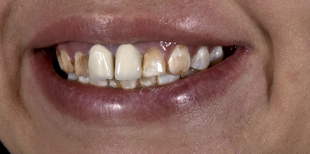
3. Staining of Teeth
Iron and mineral-rich water cause:
Yellowing
Brownish lines
Difficult-to-remove stains
These stains often require professional polishing.
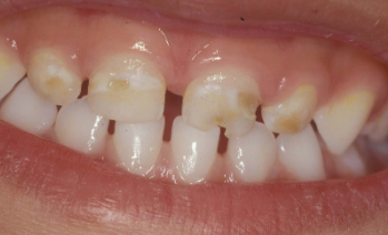
4. Increased Risk of Cavities in Children
Impure or contaminated water—especially in older colonies—can disrupt the oral microbiome.
Result:
More cavities
Gum infections
Weaker enamel development
5. Fluorosis in Certain Pockets
Areas with slightly elevated fluoride show a higher percentage of:
Chalky white patches
Brown lines
Cosmetic concerns in teenagers
Areas in Panipat Commonly Affected (General Trends)
Model Town / Sector areas: Moderate hardness, moderate fluoride
Rural outskirts: Higher fluoride cases
Industrial zones: Higher TDS
Old city areas: Staining & tartar buildup common due to supply line deposits
How to Protect Your Teeth Despite Hard or High-TDS Water
1. Get Regular Dental Cleaning Every 6 Months
Because tartar forms faster in Panipat, families should schedule scaling twice a year.
2. Use Filtered or RO Water for Drinking
This reduces fluoride and TDS exposure in households that rely on borewell water.
3. Use the Right Toothpaste Based on Water Conditions
For stains → whitening or polishing toothpaste
For sensitivity → desensitizing toothpaste
For children in high fluoride areas → low-fluoride toothpaste
4. Encourage Proper Brushing Technique
Incorrect brushing combined with mineral-rich water accelerates enamel wear.
5. Professional Fluoride Application
In low-fluoride areas, dentists can apply fluoride varnish safely for cavity prevention in children.
6. Monitor Children’s Teeth for Fluorosis Early
Early intervention prevents long-term cosmetic issues.
When to Visit a Dentist in Panipat Immediately
Seek dental evaluation if you notice:
Brown or yellow marks on children’s teeth
Persistent sensitivity despite toothpaste use
Heavy tartar despite regular brushing
White chalky patches on enamel
Bad breath due to gum infection
Staining that doesn’t improve with brushing
Fluorosis treatment at Dr. Nikhil’s Dental Clinic
Why Many Panipat Families Choose Dr. Nikhil’s Dental Clinic
Advanced dental technology: intraoral scanner, OPG, microscope
Expertise in paediatric dentistry, cosmetic dentistry & gum care
Patient-friendly approach
Focus on preventive dentistry for families
Swipe right and left in the image below to see before and after


FAQs – Water Quality & Dental Health in Panipat
Q1. Is Panipat’s water harmful for teeth?
Not harmful for general health, but it increases tartar formation and staining due to high mineral levels.
Q2. Can Panipat water cause fluorosis?
Yes, in some pockets with elevated fluoride, especially borewell areas.
Q3. Should children use RO water only?
RO water is beneficial in high-fluoride or high-TDS areas to protect developing teeth.
Q4. Why do I need frequent scaling in Panipat?
Hard water causes mineral deposits to harden faster, forming tartar more quickly.
Q5. How often should I get a dental check-up?
Every 6 months is ideal for Panipat families.
Conclusion
Panipat’s local water quality plays a significant role in shaping the city’s oral health trends. From tartar buildup to sensitivity and fluorosis, water composition influences both children and adults.
With awareness and preventive care, families can easily maintain strong, healthy teeth.
If you’re worried about stains, tartar, fluorosis, or sensitivity, book a consultation at Dr. Nikhil’s Dental.
📞 Call: 9812912946
🌐 Visit: www.panipatdentist.com
Your teeth deserve expert care from a clinic that understands Panipat’s water–dental connection better than anyone.
Dr. Nikhil’s Dental Clinic & Implant Center


